Aunque se nace con la enfermedad (es raro que se manifieste antes de la adolescencia), es la primera causa de ceguera de origen genético en la población adulta, afectando a una persona de cada 3700, siendo más frecuente en varones (60%) que en mujeres (40%). En las primeras etapas afecta predominantemente a la visión nocturna y al campo periférico, manteniéndose la visión central hasta etapas avanzadas.
Se cree que los genes anómalos producen alteraciones en los receptores de proteína G de las células de la retina, como los bastones, siendo muy variable el factor hereditario, aunque no todas las formas hereditarias tienen la misma gravedad ni igual evolución.
Principales síntomas de la retinosis pigmentaria
Los principales síntomas en las primeras fases consisten en ceguera nocturna, que se manifiesta como una adaptación deficiente a la oscuridad y lugares poco iluminados; reducción del campo visual: se reduce progresivamente y el enfermo debe girar continuamente la cabeza para poder visualizar lo que se encuentra a su alrededor (se conoce como visión en túnel); deslumbramientos y fotopsias: pequeños flashes en la periferia que dificultan la visión; alteración de la percepción de colores; disminución de la agudeza visual...
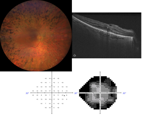
Evaluación oftalmológica
Para el diagnóstico se realiza un examen general oftalmológico incluyendo la realización de algunas pruebas: (estudio de fondo de ojo mediante oftalmoscopía y/o retinografía; estudio del árbol vascular retiniano mediante angiografía fluoresceínica (AGF); estudio de la retina mediante tomografía de coherencia óptica (OCT) o electroretinograma; pruebas genéticas).
Tratamiento y terapias de ayuda en baja visión
Aunque se está avanzando continuamente en el conocimiento de la enfermedad, las alteraciones genéticas que la causan y los mecanismos biológicos por los que se origina, no se ha conseguido ningún tratamiento eficaz, aunque existen avances con terapia génica y retinas artificiales (Argus II).
Ayudas ópticas: Se clasifican en lupas, microscopios, telescopios, telemicroscopios y sistemas electrónicos. Producen una magnificación de una imagen en la retina: (amplificación del tamaño relativo; amplificación por disminución de la distancia relativa; amplificación angular; amplificación por proyección).
Ayudas no ópticas: Permiten realizar tareas de forma más cómoda para el paciente. (mejoran la posición y postura corporal: mesas abatibles, portalibros de mesa, atriles plegables, …; facilitan el control de la iluminación: La iluminación en la zona de trabajo debe ser adecuada y cómoda, con luces frías; mejoran el contraste: rotuladores y lápices de punta blanda, papel rallado para escritura, fondos amarillos, …; amplían el texto a través de macrotipos.)
Ayudas funcionales: Los defectos visuales afectan a la movilidad y orientación del paciente. Es importante el aprovechamiento de la información que aportan los sentidos. El entrenamiento de estas habilidades forma parte del aprendizaje incluido en los programas de rehabilitación de pacientes con baja visión.
Algunas de las esperanzas de cara al futuro se centran en la posibilidad de realizar un trasplante de retina. Actualmente no es posible debido a la complejidad del sistema ocular, pero se siguen realizando ensayos y pruebas en busca de una solución factible.

Fuente: https://www.laboratoriosthea.com/medias/thea_informacion_73.pdf